Infos Behandlungsfelder Die Therapie Praxis-Aktuell Jobs Links
Startseite Behandlungsfelder Ästhetische Zahnheilkunde

Behandlungsfelder


Füllungstherapie Prophylaxe Parodontologie Prothetik Implantologie Ästhetische Zahnheilkunde Endodontie Alterszahnheilkunde Funktionsdiagnostik DVT und Röntgen Klinische Bilder

Impressum Kontakt

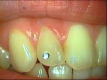
Dazzler

Da die Zahnheilkunde nicht nur funktionellen Ansprüchen genügen soll, darf auch das Aussehen nicht zu kurz kommen. Schon die Mayas und die alten Inkas aber auch die Ägypter verzierten ihre Zähne mit Gold und Edelsteinen. Ein Beispiel kann man auf nebenstehendem Foto sehen. Es handelt sich um einen aufgeklebten diamantfarbenen Stein. Da er nur aufgeklebt wird, kommt es zu keiner Schädigung der Zahnhartsubstanz. Er kann problemlos wieder entfernt werden.
Ebenso ist das Aufkleben von kleinen Goldbildchen
(englisch: Dazzler) auf die Zähne möglich. Es gibt sie in den verschiedensten Formen. Auch Buchstaben sind möglich. Die Bildchen werden ebenfalls mit Komposit auf den Zahn geklebt (hier Delphin).
Veneers